| 1 |
C |
 |
Tao Wan and
Zengchang Qin (2010)
An application of compressive sensing for image fusion
the ACM International Conference on Image and Video Retrieval
(CIVR 2010), pp. 3-9, Xi’an, China, IEEE Press.
Best Paper Nomination |
| 2 |
J |
 |
Tao Wan and
Zengchang Qin (2011)
An application of
compressive sensing for image fusion
International Journal of Computer Mathematics
Vol. 88(18), pp. 3915-3930. |
| 3 |
C |
 |
Renjie Liao, Tao Wan and Zengchang Qin
(2011)
Classification of
benign and malignant breast tumors in ultrasound images based on
multiple sonographic and textural features
Proceedings of the International Conference on Intelligent Human-Machine
Systems and Cybernetics (IHMSC 2011), pp. 71-74. |
| 4 |
C |
 |
Tao Wan, Rejie Liao and Zengchang Qin (2011)
A robust feature selection approach using low rank matrices for beast tumors in ultrasonic images
Proceedings of the International Conference on Image Processing (ICIP
2011),
pp. 1645-1648.
|
| 5 |
C |
 |
Tao Wan, Xu Liu,
Jianhui Chen and Zengchang Qin (2014)
Wavelet-based statistical
features for distinguishing mitotic and non-mitotic cells in
breast cancer histopathogoly
Proceedings of the International Conference on Image Processing (ICIP
2014),
pp. 2290-2294.
|
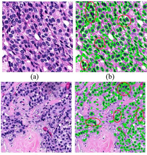
| 6 |
C |
 |
Juan Jing, Tao Wan,
Jiajia Cao and Zengchang Qin (2016)
An improved hybrid active
contour model for nuclear segmentation on breast cancer
histopathology.
International Symposium on Biomedical Imaging (ISBI) pp.
1155-1158.
|
| 7 |
C |
 |
Jiajia Cao,
Zengchang Qin, Juan Jing, Jianhui Chen and Tao Wan (2016)
An automatic breast cancer
grading method in histopathological images based on pixedl-,
object-, and semantic-level features.
International Symposium on Biomedical Imaging (ISBI) pp.
1151-1154.
|
| 8 |
J |
 |
Tao Wan, Jiajia
Cao, Jianhui Chen and Zengchang Qin (2016)
Automated grading of breast
cancer histopathology using cascaded ensemble with
combination of multi-level image features.
in Press, Neurocomputing
|